Erle
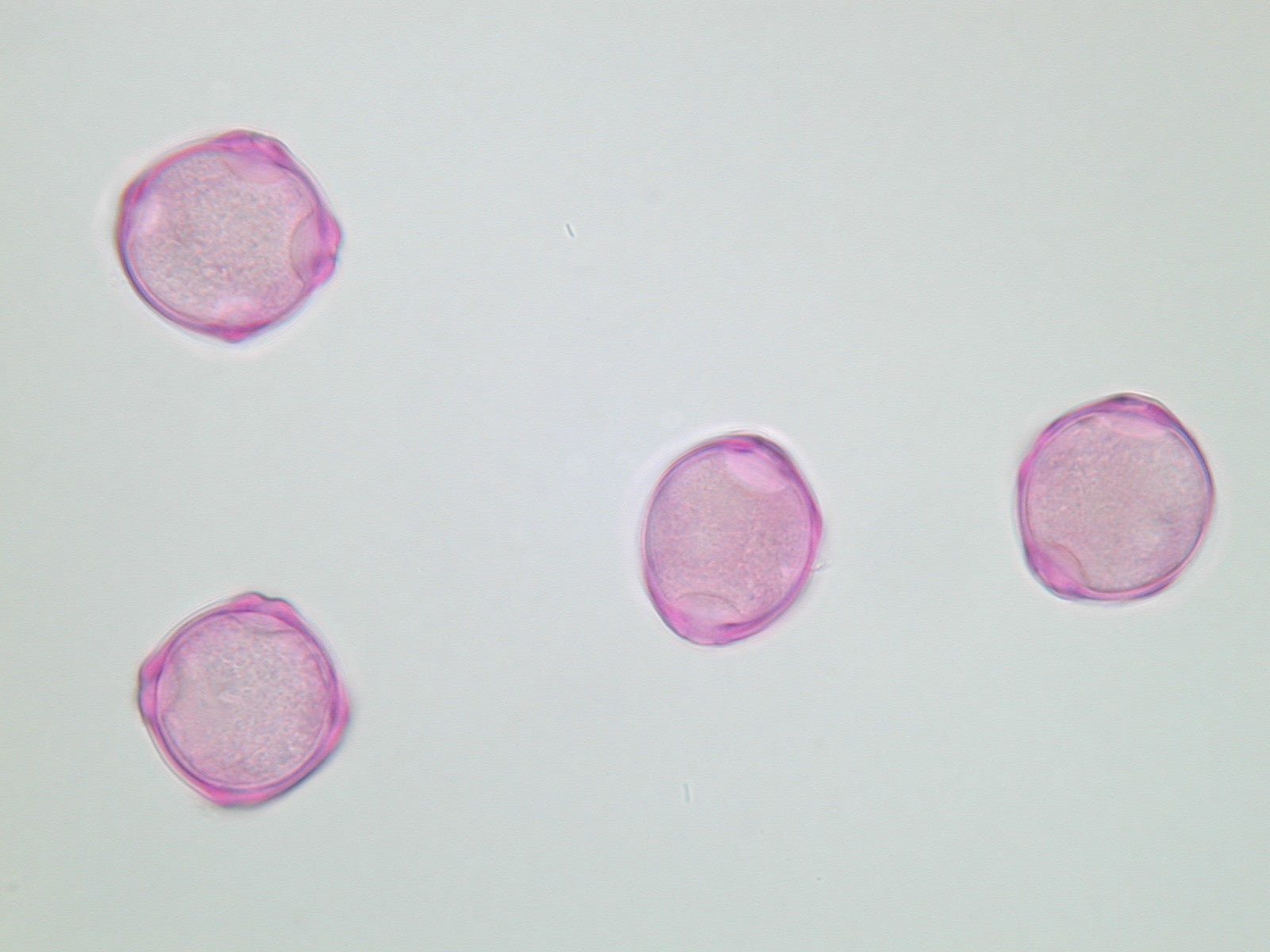
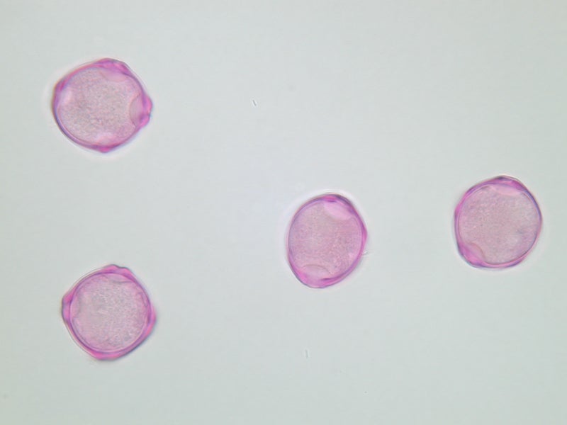
Die Erle (Alnus sp.) wächst vor allem auf feuchten Böden. In unserer Region kommen drei Arten vor: Die Schwarz-Erle (Alnus glutinosa) - ein wichtiger Vertreter der Auwälder - säumt die Flüsse der Talsohle und steigt bis auf 800 m Meereshöhe hinauf. Die Grün-Erle (Alnus viridis) bestimmt die subalpinen Gebüsche zwischen 1600 und 2200 m. Die Grau-Erle (Alnus incana) kommt auf durchnässten Böden bis auf 1300 m vor. Die Blätter sind gestielt und am Rande gesägt, die Blattspreite ist bei der Schwarz-Erle breit abgerundet, bei der Grün- und Grau-Erle zugespitzt. Die männlichen Blüten sind in gelb-bräunlichen, hängenden, 5 bis 15 cm langen Kätzchen vereint. Die weiblichen Blüten sind in eiförmigen Blütenständen angeordnet, die nach der Fruchtbildung verholzen (zapfenartige Gebilde). Lichtmikroskopische Aufnahmen zeigen die abgeflachten Pollenkörner mit vier bis fünf Keimporen, kleine Öffnungen, die für die Bildung des Pollenschlauches bei der Bestäubung wichtig sind. Die Blütezeit der Schwarz- und Grau-Erle beginnt bereits im Winter, jene der Grün-Erle im Spätfrühling. Erlen-Pollen gelten als sehr aggressiv.
Bozen
2026
2025
langjähriger Mittelwert
Schlanders
2026
2025
langjähriger Mittelwert
Bruneck
2026
2025
langjähriger Mittelwert



