Brennnesselgewächse
Sowohl das Glaskraut (Parietaria sp.) als auch die Brennnessel (Urtica sp.) gehören dieser Pflanzenfamilie an, ihre Pollen können jedoch am Lichtmikroskop nicht voneinander unterschieden werden. Es handelt sich um häufig verbreitete, ein- oder mehrjährige krautige Pflanzen, die in Mauerritzen, an Ruderalstandorten, auf Schuttplätzen, an Straßenrändern, auf Feldern und feuchten Waldstandorten wachsen. Die Blätter der Großen Brennnessel (Urtica dioica) sind gegenständig, gestielt, eiförmig, zugespitzt und gesägt. Die gesamte Pflanze ist von Brennhaaren bedeckt. Die männlichen und weiblichen Blüten sind in rispenartigen Blütenständen auf verschiedenen Individuen angeordnet.
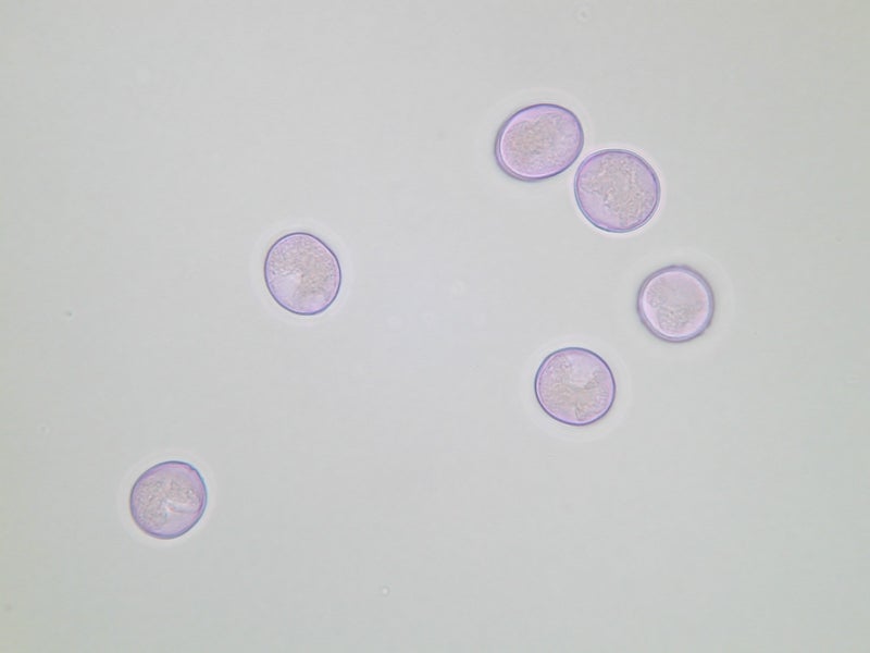
Das Aufrechte Glaskraut (Parietaria officinalis) und das Ausgebreitete Glaskraut (Parietaria judaica) besitzen wechselständige, eiförmige, zugespitzte Blätter ohne Brennhaare. Die kleinen Blüten sind in kugeligen Büscheln vereint. Die rundlichen, kleinen Pollenkörner besitzen meist drei Keimporen und lassen sich für eine bessere Sichtbarkeit unter dem Mikroskop allerdings nur schwach anfärben. Die Blütezeit der Brennnesselgewächse erstreckt sich über einen sehr langen Zeitraum vom Frühjahr bis in den Herbst. Die Pollen des Glaskrautes sind als häufige Heufiebererreger von großer Bedeutung.
Bozen
2026
2025
langjähriger Mittelwert
Schlanders
2026
2025
langjähriger Mittelwert
Bruneck
2026
2025
langjähriger Mittelwert



